


インプラント治療は専門的な知識や技術と豊富な臨床経験が必要不可欠です。当院の院長は最年少で日本口腔インプラント学会の専門医を取得しました。
また、日本歯周病学会の認定医も取得しています。歯周病治療のエキスパートとして、まずは歯を残すことを第一に考えて治療計画を立案します。

世界的なシェアを誇るインプラントメーカであるNobel Biocare(ノーベルバイオケア)社と、日本製のインプラントメーカーであるGC社から最年少の公認インストラクターとして、全国の歯科医師に向けてインプラントについての講演を行っています。
会員数500名を超える国内最大規模のスタディグループである日本インプラント臨床研究会で毎年行われる全員発表コンテストで、インプラント症例で2022年、2023年に2年連続最優秀ポスター賞、2024年に学術奨励賞を受賞しました。
2023年インプラントのスタディグループWIERO(ウィーロー)を設立し、The Implant Japanを企画・主催しました。2024年は前歯部審美インプラントについてのテーマで歯科関連業者10社以上の協賛を得て、大規模イベントを開催しました。
歯科医師の愛読書として知られている雑誌クインテッセンスからの出版本で、数多くの執筆歴があります。インプラント治療に関するものが多いですが、今後は海外雑誌の翻訳や審美インプラントについての執筆も予定しています。
歯科用CTや口腔内スキャナー、3Dシミュレーション、サージカルガイドなど最新の電子テクノロジーを活用し、より安全で正確、低負担なインプラント治療を行います。
これにより、従来の治療よりも「高精度」「スピーディー」「安全性」が飛躍的に向上しました。
デジタルインプラントは最新の医療技術と私たち歯科医師の知識・経験を融合した、より安心・安全・快適な治療法です。
インプラント治療をご検討の方は、ぜひ一度ご相談ください。
これまでインプラント体を正確な位置・角度に埋め込むための方法は、「サージカルガイド(マウスピース状の手術用テンプレート)」が一般的でしたが、サージカルガイド作製に時間を要したり、口腔内の変化により誤差が生じる場合がありました。
X-Guideは歯科インプラント治療向けの3Dダイナミックナビゲーションシステムです。インプラント体の埋入位置・角度・深さをリアルタイムに可視化し、デジタル技術により精度向上とリスク低減を目指した手術を支援します。

骨の形態・質・高さ・幅には個人差があり、骨内には神経や血管が走行しています。適切な治療計画を立てるために、CT撮影と型取りを行います。

骨の状態や最終的な歯の形態・咬合を考慮し、インプラントの位置・サイズなどを検討します。

画像を用いて、治療の流れや想定されるメリット・留意点についてわかりやすくご説明します。

立案した計画に基づき、X-Guideで位置・角度・深さをリアルタイムに確認しながら手術を行います。
従来法と比べて、術中の情報量が増えることで精度の高い処置を目指せます。

適切に埋入されたインプラントに最終的な人工歯を装着します。
これからのインプラントは、機能だけでなく、見た目をキレイに美しく、本物の自身の歯と変わらないように、いかにナチュラルに見せるかがポイントとなります。
お口を開け、微笑んだときに、どれだけ自然に見えるかということを美容観点からも考慮し、「スマイルライン・エステティックライン」を意識した、より美しく、そしてナチュラルに見せる治療を行います。上部構造(人口歯)の美しさの追求はもちろんのこと、歯ぐき(歯肉)のラインやボリュームのバランスも求められます。特に前歯のインプラントは、笑顔や会話時などにその方の第一印象を大きく決めますので、より審美性が求められます。当院では、自然にキレイに見せる前歯部審美インプラント治療に力を入れています。
抜歯即時埋入とは、歯を抜いた(抜歯した)直後にインプラントを埋入する治療法です。通常のインプラント治療では、抜歯後の細菌感染などを防ぐため、2~3ヶ月ほど歯ぐきや骨が回復するのを待ってからインプラント手術を行います。抜歯即時埋入は、手術回数が1回に減らせる、治療期間を短縮できるなど患者さまの負担を少なくすることができます。ただし、抜歯即時埋入をするには、歯や歯ぐき、顎の骨の状態などが良好なことなどの条件をクリアする必要があります。また感染リスクが高く、通常のインプラント治療よりも難易度が高く、高度な専門知識や治療技術が求められる治療法です。当院では万全な感染対策と経験豊富なドクターが抜歯即時埋入を行います。
All-on-4とは、4本のインプラント体をバランスよく埋入し、力を広く均等に配分することで、すべての人工歯を効率的に支える術式です。通常のインプラント治療では歯のないところにインプラント体を1本ずつ埋入するため、多くの歯を失うとインプラント体の本数もそれだけ多くなります。本数が少なければ、患者さまの身体的な負担も費用も少なくて済みます。
また、インプラント体の埋入後は、その日のうちに仮歯を固定しますので、治療当日から会話や軽い食事を摂ることもできます。総入れ歯や既に多くの歯を失っている方にお勧めの治療法です。
※顎の骨の状態によってはインプラントの本数が4本以上になることがあります。
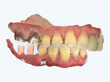
主訴
食事ができない、うまく笑えない
診断重度歯周病
治療上下All-on-4
費用約450万円(片顎)
補綴チタン+ジルコニア治療
前歯部のインプラント治療は審美的な結果が強く求められる部位です。患者様の要望に応えられるように治療計画を立案します。
主訴
前歯をインプラントにして、全体的にキレイにしてほしい
診断欠損
治療インプラント
費用90万円程度
前歯の治療では、周りの歯とキレイに馴染むように色や形をていねいに作っています。患者様と歯科医師の両方が「これで大丈夫」と納得できるまで仕上がりを確認し、満足できない場合はそのままつけることはありません。
主訴歯が変色している
診断外部吸収による破折
治療抜歯即時インプラント治療
費用70万円程度
補綴ジルコニア(ステイニング)
前歯部インプラントは審美的に美しくするのが非常に大切です。特に1本の症例では、インプラントと気づかれないことが最も重要です。
デンタルローンを利用することで、インプラント治療にかかる費用負担を軽減し、治療を先延ばしにせずにすぐに受けられます。
歯科治療専用のローンなので、一般的なクレジットカード分割払いよりも低い金利でご利用いただけます。
◆ デンタルローンによるお支払い例:800,000円(税込)
| お支払い回数 | 96回 | 60回 | 24回 | 12回 |
|---|---|---|---|---|
| 初回支払い額 | 16,440円 | 23,380円 | 40,450円 | 72,870円 |
| 初回以降支払い額 | 10,400円 | 15,300円 | 35,300円 | 68,700円 |
| 分割払い手数料 | 204,440円 | 126,080円 | 52,350円 | 28,570円 |
| お支払い総額 | 1,004,440円 | 926,080円 | 852,350円 | 828,570円 |
※表は左右にスクロールして確認することができます。
健康な18歳以上の方なら問題ありません。高齢者の方も問題なく治療ができます。
18歳未満、心臓病、重度の糖尿病、重度の骨粗しょう症など健康状態が著しく悪い方は適していません。心配な方はご相談ください。
1~3本ぐらいであれば、1時間~1時間半くらいで終わります。また、骨を作るなど複雑な手術になるともう少しかかります。
早い方なら、約2ヶ月程度で正常に噛めるようになっています。ただし、患者様の食いしばりや歯ぎしりなどにより、多少延びる場合があります。
また、歯周病治療直後のインプラント埋入など手術のリスクが高い場合は、少し様子を見なくてはいけないためさらに数ヶ月かかります。
入院は必要ありません。一応手術後は安静にしていただくように説明していますが、デスクワークなどの仕事は差し支えないと思います。
手術当日は、激しい運動、入浴(長湯しなければシャワー等は問題ありません)、飲酒を避けてください。また、感染を防ぐため、出された薬をきちんと飲んでください。うがい薬は手術翌日から使い、患部を清潔に保ってください。
外観からインプラントをしていることに気づかれることはまずありません。インプラント治療で重要なのが前歯の治療です。近年この問題を解決すべく、さまざまなタイプのインプラントやパーツが開発されました。ですから、食事中に外れたり、カタカタ音がしたり、発音障害などはほとんど起こりません。
自分の歯と同じように考えていいと思います。自分の歯で噛める物はインプラントでも噛めます。
インプラントはチタンのため虫歯になりませんが、歯周病にはなります。また歯周病になると非常に進行が早いので、予防するために定期的なクリーニングが必要です。
患者様のお口の中の衛生管理に大きく関係しますので、お口の衛生状態が悪いとインプラントの寿命が短くなる場合があります。
インプラントの歴史は1950年から始まり、実用化は1965年からです。実例として、1965年にインプラントを行った患者が亡くなるまでの41年間問題なく機能していました。つまり40年間耐えられる実績は証明されています。常に衛生状態を良好に保ち、担当医師や衛生士の指導に従っていただくことが大切です。インプラントの10~15年の生存率は上顎 約90%、下顎 約94%です。
【略歴】
【実績】
【所属・資格】
【執筆】
お問い合わせは下記よりお申し込みください。
ご入力いただいた電話番号・メールアドレスへご連絡をさせていただきます。
※ご連絡は診療時間内のご対応をさせていただきますので、ご了承ください。
※携帯メールでお申し込みをする場合は、PCメールからの受信拒否を解除してください。
※万一、5日以上経ってもご連絡がない場合は、医院までご連絡くださいますようお願いいたします。
※送信していただいた個人情報は厳重に保管いたします。